Etiket: yeni tedavi yöntemleri geliştirilmesine nasıl katkı sağlanabilir

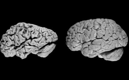
Alzheimer Beyinde Sessizce Başlayıp Ani Yıkımla İlerliy...

Nature Neuroscience'da yayımlanan kapsamlı araştırmaya göre Alzheimer hastalığı,...

Bu site, hizmet kalitesini artırmak ve kişiselleştirilmiş içerik sunmak için çerezleri kullanmaktadır. Siteyi kullanmaya devam ederek çerez kullanımını kabul etmiş olursunuz. Detaylar için [Çerez Politikası]'nı inceleyebilirsiniz.